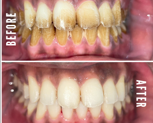
Dental scaling is a professional teeth cleaning procedure that removes plaque and tartar (hardened plaque) from the surface of your teeth and below the gum line. Even with regular brushing and flossing, mineral deposits build up on your teeth over time. These deposits, called tartar or calculus, can only be removed by a dental professional using special scaling instruments.
At Besant Dental Care in Besant Nagar, we perform dental scaling using both ultrasonic scalers and hand instruments for thorough, comfortable cleaning.
If any of these issues describe your smile, a smile makeover at Besant Dental Care in Besant Nagar can help you achieve the smile you have always wanted.
This is the routine professional cleaning recommended every 6 months for patients with healthy gums. It removes plaque and tartar from above and just below the gum line, followed by polishing to remove surface stains.
For patients with gum disease where tartar has built up deep below the gum line, a deeper cleaning procedure called scaling and root planing is performed. Our periodontists Dr. Priyanka Baskaran and Dr. Shruthi Chandrasekar specialise in gum treatments and perform this procedure with precision and care.

Our dentist or periodontist examines your gums, measures the depth of the pockets around your teeth, and assesses the extent of tartar buildup. X-rays may be taken if bone loss is suspected.

An ultrasonic scaler uses high-frequency vibrations and a water spray to break down and remove large deposits of tartar from the tooth surfaces. This is fast, effective, and minimally uncomfortable.

Fine hand instruments are used to carefully remove any remaining deposits, especially in harder-to-reach areas and below the gum line.

After scaling, the teeth are polished using a special paste that removes surface stains and leaves the teeth feeling smooth and clean.

A fluoride treatment may be applied to strengthen the enamel and reduce sensitivity after cleaning.
Experienced clinician: Dr. Rohit M
Advanced dental technology
Strict sterilization protocols
Comfortable and patient-friendly approach
Convenient location in Besant Nagar, Chennai
Comfortable, modern clinic environment
If you are searching for teeth scaling in Besant Nagar, Chennai, Besant Dental Care offers reliable, advanced, and patient-centered care. Book your appointment today for expert dental treatment.